Augenverletzungen

Akute Augenverletzungen

Akute Augenverletzungen werden in Lidverletzungen, den Augapfel eröffnende und nicht eröffnende Verletzungen unterteilt. Wichtig ist der Ausschluss weiterer Verletzungen des Augapfels und der knöchernen Strukturen in Zusammenarbeit mit anderen Fachdisziplinen. Verletzungen der Lider und den Augapfel eröffnende Verletzungen werden in der Augenklinik Nord regelmäßig versorgt. Aufgrund der engen Zusammenarbeit innerhalb des Kopfzentrums im Klinikum Nord mit Hals-Nasen-Ohrenheilkunde, Neurochirurgie, Mund-Kiefer-Gesichtschirurgie, Neurologie und Neuroradiologie können sämtliche Kopf- und Augenverletzungen kompetent und optimal versorgt werden. Stumpfe, den Augapfel nicht eröffnende Verletzungen sollten engmaschig kontrolliert werden, auch eine kurze stationäre Überwachung kann im Einzelfall sinnvoll sein, um starke Augeninnendruckanstiege umgehend behandeln zu können. Folgeschädigungen wie Netzhautablösungen, Glaukom und Kataraktentwicklung sollten hierbei kontrolliert werden.

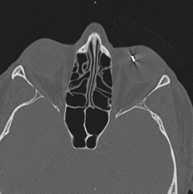
links: Computertomographie mit metallenem Fremdkörper im Auge, rechts: Metallfremdkörper nach Entfernung aus dem Auge


Spätfolgen und Rekonstruktionen

Je nach Verletzungsform sind in weiteren Schritten rekonstruktive operative Eingriffe notwendig. Künstliche Speziallinsen, Regenbogenhautsegmente in unterschiedlichen Farben oder ein Vollersatz der Regenbogenhaut, künstliche Lederhautanteile wie auch spezielle Nähte im Auge zur Wiederherstellung von eingerissenen Regenbogenhautanteilen sind nur einige der Techniken, die wir anbieten können. In der Augenklinik Nord wird eine patientenindividuelle Planung der Rekonstruktion  angeboten um bestmögliche Ergebnisse erzielen zu können.

links: großer Defekt der Regenbogenhaut sowie verletzungebedingte Katarakt, rechts: Zustand nach Rekonstruktion der Regenbogenhaut und Ersatz der Linse