Der graue Star ist eine Trübung der Linse, die jedes Auge mit zunehmendem Alter betrifft, man spricht hier vom Altersstar. Gelegentlich betrifft die Veränderung auch jüngere Menschen, es gibt angeborene Linsentrübungen aber auch Trübungen durch Medikamente (z.B. Cortison) und bei anderen Systemerkrankungen wie der Zuckerkrankheit (Diabetes mellitus) oder Verletzungen. Die Linse übernimmt neben der Hornhaut einen großen Teil der Lichtbrechung. Der Begriff leitet sich aus dem Griechischen ab und bezieht sich auf die Wasserverwirbelungen in Stromschnellen, die klares Wasser trüb aussehen lassen.

Die „Katarakte“ im Fluss Nil sind Beispiele für die Begriffsverwendung im Altertum. Aktuell gibt es keine andere Möglichkeit der Behandlung als die operative Entfernung der trüben Anteile der Linse. Im selben Eingriff wird eine individuell berechnete Kunstlinse in das Auge eingesetzt. Die Operation kann in vielen Fällen ambulant durchgeführt werden, bei speziellen Begleiterkrankungen kann aber eine stationäre Operation medizinisch notwendig sein. Dies gilt zum Beispiel bei sehr stark eingetrübten Linsen (Cataracta matura), lockerer Linsenaufhängung (nach stumpfen Verletzungen oder beim Pseudoexfoliations-(PEX)-Syndrom), bei voroperierten Augen oder nach schweren Verletzungen des Augapfels in der Vergangenheit. Ihr Augenarzt entscheidet normalerweise in Absprache mit dem Operateur, ob der Eingriff unter stationären Bedingungen durchgeführt werden sollte.
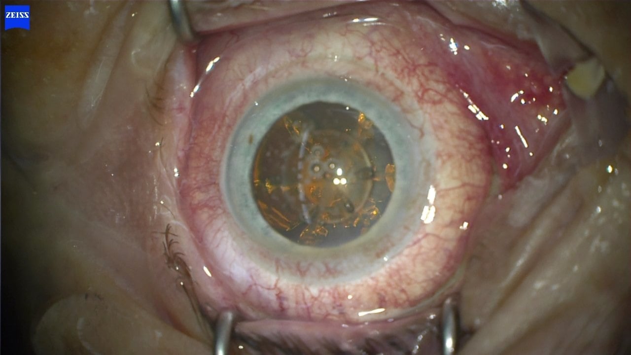
Im dargestellten Video kann eine Standard-Katarakt-Operation von mir ungeschnitten betrachtet werden. Zusätzlich ist in der oberen linken Ecke die Ansicht des Auges von der Seite zu erkennen.
Seit Dezember 2020 verfügt die Augenklinik Nord-Heidberg über eines der modernsten Femto-Laser-Systeme weltweit. Der Ziemer Z8 Laser ist die letzte Weiterentwicklung einer Reihe von außergewöhnlichen Niedrigenergielasern mit Schweizer Präzision. Eine der Anwendungsmöglichkeiten liegt in der Durchführung der schonenden Femto-Laser-Katarakt Chirurgie.
Der Femto-Laser ermöglicht eine absolut perfekt runde Eröffnung der Linsenkapsel die mit dieser Präzision nicht mit der üblichen handgezogenen Technik möglich ist. Weiterhin kann mit Hilfe des Lasers der Linsenkern vorgeschnitten werden, was den Einsatz der Ultraschallenergie, die für die Absaugung des Linsenkernes notwendig ist, deutlich reduziert. Die Katarakt Operation wird dadurch sicherer und schonender für das Auge.
In der nachfolgenden Bilderserie können Sie den Effekt des Lasers an der Linse direkt nach dem Lasereinsatz betrachten.
Die Verwendung des Femto-Lasers ist bei fast jedem Patienten möglich, außer bei sehr tiefliegenden Augen und Augen mit enger Pupille, die sich nicht medikamentös erweitern lässt.
Der zusätzliche Lasereinsatz ist besonders vorteilhaft bei Augen mit lockerer Linsenaufhängung und vorgeschädigter Hornhaut.
Da der Einsatz des Femto-Lasers besondere nur einmal verwendbare Andocksysteme für das Auge benötigt ist der Einsatz des Lasers nicht Bestandteil der gesetzlichen Krankenversicherungen und wird als Selbstzahlerleistung abgerechnet.
Einzelheiten zum Einsatz des Lasers und den Kosten erfahren Sie bei der Voruntersuchung in unserer Klinik.
Hornhautverkrümmungen (Astigmatismus) kommen bei einem großen Teil der Patienten vor (ca. 40%). Ab einem Astigmatismus von 1 bis 1,5 Dioptrien gibt es die Möglichkeit, mit Hilfe von sogenannten Sonderlinsen diese Hornhautverkrümmungen bei einer Grauen Star Operation zu korrigieren (betrifft ca. 20% aller Patienten). Dafür werden Speziallinsen eingesetzt die unterschiedliche Brechkräfte in verschiedenen Achsen haben. Zu Erkennen sind diese Linsen z.B. an den drei Punkten in der stärker brechenden Achse, die der Operateur exakt ausrichten muss. Eine Fehlausrichtung der Achse um nur 3 Grad mindert die Wirkung der Astigmatismuskorrektur schon um 10%, bei 30 Grad ist die Wirkung der Sonderlinse praktisch null. Mit Hilfe des hochmodernen Callisto Systems der Firma Zeiss-Meditec ist es möglich die Linsen hochpräzise in das Auge einzusetzen und die Achse auszurichten. Zum Einsatz kommt hier ein automatisches Eye-Tracking System, dass das Auge mit seinen Strukturen in Echtzeit permanent ausmisst. Dabei wird das Bild des Auges, dass zuvor an einem anderen Gerät zur Berechnung der Linse aufgenommen wird, über das Netzwerk der Klinik in das Mikroskop transferiert und dann mit dem Live-Bild abgeglichen. Auf dem Foto unten kann man den Abgleich der Bindehautgefäße erkennen.

Im unten gezeigten Video können sie das mittels "Head-Up"-Display in die Operateurs-Ansicht des Mikroskops eingespiegelte Bild sehen. Das Halbspiegel-System entspricht der Technik die auch in Helmen von Piloten in Kampfflugzeugen verwendet werden. Es können verschiedene Funktionen eingeblendet werden.
Im ersten Schritt werden die Schnitte eingeblendet, im zweiten die Größe der Linsenkapseleröffnung und im dritten die gradgenaue exakte Positionierung der Linsenachse. Hiermit läßt sich eine extrem präzise Ausrichtung der Linsenachse ermöglichen, die mit herkömmlichen manuellen Markierungssystem niemals erreicht werden kann. Unsere Erfahrungen mit diesem System, das wir seit 2018 einsetzen, sind hierbei exzellent und die Ergebnisse so gut, dass praktisch keine Nachoperationen (Nachdrehungen der Linse) mehr notwendig sind.
Die Verwendung von torischen Linsen ist nicht Bestandteil der gesetzlichen Krankenversicherungen und wird daher als Selbstzahlerleistung abgerechnet.
Ob Sie von einer torischen Linse profitieren können und wie hoch die individuellen Kosten sind erfahren Sie bei der Voruntersuchung in unserer Klinik.
In seltenen Fällen kann sich eine Kunstlinse nach Jahren verschieben, eintrüben oder lösen. In diesen Fällen muss gelegentlich die Kunstlinse wieder im Auge befestigt werden oder die Linse entfernt und eine neue Linse implantiert werden. Die schonende Einnähung oder Refixierung der Aufhängung der bestehenden Linse ist eine gute Methode um bei minimalem Operationstrauma die Sehfähigkeit wiederherzustellen. Nach mehreren hundert Linseneinnähungen und Linsenaustausch-Operationen kann ich meinen Patienten auf diesem Gebiet eine hohe Expertise garantieren.
Austausch einer Kunstlinse bei falsch berechneter Linse durch einen anderen Operateur.