In der Augenklinik Nord Heidberg versorgen wir alle netzhautchirurgischen Veränderungen. Hierzu zählen insbesondere folgende Veränderungen:
Auf dem oberen Bild sehen Sie eine normale Netzhaut. Rechts im Bild ist der Sehnervenkopf (Papille), der Eintrittspunkt für die Nervenfasern und die oberflächlichen Gefäße der Netzhaut. In der Mitte die sogenannte Macula mit der zentralen Fovea, auch gelber Fleck genannt, die Stelle mit der höchsten Dichte an Sinneszellen die für die zentrale Sehschärfe verantwortlich ist.
Technisch stehen 23- und 25-Gauge-Systeme für die intraokulare Netzhautchirurgie zur Verfügung. Mit diesen nahtlosen minimalinvasiven Operationsmethoden wird durch Öffnungen mit nur 0,6 bzw 0,5 mm im Auge operiert. Einen Eindruck von der Feinheit der Instrumente können Sie auf der nachfolgenden Abbildung bekommen.

Weiterhin können auch nicht den Augapfel-eröffnende Netzhaut-Eingriffe wie Kältebehandlungen (Kryotherapien) und Plombenaufnähungen durchgeführt werden.
Für komplexen intraokularen operativen Eingriffen stehen auch verschiedene Gase und Silikonöle für die Auffüllung des Augapfels bereit.
Bei der epiretinalen Gliose bilden sich Membranen auf der Netzhaut, die erhebliche Zugkräfte auf die Netzhaut ausüben können. Es zeigen sich Netzhautschwellungen und Falten, die der Patient als Verzerrungen im Bild wahrnimmt. Die Angaben über die Häufigkeit der Veränderung liegen bei den 70 bis 80 jährigen zwischen 2-20%. Die Ursache lässt sich nicht immer klären, bekannt ist das häufigere Auftreten nach Netzhautlöcher in den Außenbereichen der Netzhaut, auch nach Laser- oder Kältebehandlungen der Netzhaut, nach Entzündungen, bei unterschiedlichen Gefäßerkrankungen der Netzhaut oder nach stumpfen Verletzungen des Augapfels.


Risikopatienten empfehlen wir 1x wöchentlich mit jedem Auge einzeln diesen Test durchzuführen. Entsprechene Testkarten können Sie bei Ihrem Augenarzt erhalten.
Therapeutisch kommt nur eine operative Entfernung der Membranen in Frage. Dies wird in der Augenklinik Nord-Heidberg mittels minimal invasiver 23 G- oder 25 G-Technik durchgeführt, bei der nur 3 kleine Öffnungen mit 0,6 bzw. 0,5 mm Durchmesser an der Außenseite des Auges angelegt werden müssen. Diese minimalinvasive Technik ermöglicht eine kurze Operationszeit, kurze stationäre Verweildauer und schnelle Rehabilitation des Patienten.


Das Verzerrtsehen wird häufig schon nach wenigen Wochen besser, die Erholung der Sehschärfe kann hingegen bis zu einem Jahr dauern.
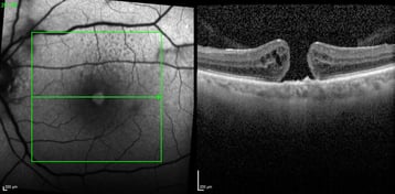
Das Makulaforamen ist ein Netzhautloch in der zentralen Stelle des schärfsten Sehens. Die Ursache ist häufig unbekannt, gelegentlich kann ein Makulaforamen nach einer Verletzung oder bei einer epiretinalen Gliose auftreten. Makulaforamen können unterschiedlich groß sein und unterschiedlich tief. Entsprechend können die Symptome variieren. In der Regel kommt es zu einem starken Abfall der Sehschärfe. Eine operative Versorgung ist bei großen Foramina die einzige Möglich, um eine Verbesserung der Sehschärfe zu erreichen. Bei sehr schlechter Ausgangssehschärfe ist der Erfolg aber oft begrenzt. Nichtsdestotrotz kann die Operation eine weitere Verschlechterung verhindern und den zentralen schwarzen oder gräulichen Bereich, den der Patient wahrnimmt, verkleinern.
Die Operation wird in der Augenklinik Nord Heidberg mittels minimalinvasiver 25 G-Technik durchgeführt, bei der nur 3 kleine Öffnungen mit 0,5 mm Durchmesser an der Außenseite des Auges angelegt werden müssen. Diese minimalinvasive Technik ermöglicht eine kurze Operationszeit, kurze stationäre Verweildauer und schnelle Rehabilitation des Patienten. In der Regel wird bei diesen Operationen eine Gasblase in das Auge eingegeben. Dies soll das Verschließen des Loches begünstigen. Nach der Operation empfehlen wir den Patienten, anfangs für mehrere Stunden am Tag den Blick gesenkt zu halten und das Auge wenig zu belasten, um den optimalen Operationserfolg sicherzustellen. Solange die Gasblase im Auge ist, bleibt die Sehschärfe noch stark reduziert, dies ist normal aufgrund der geänderten Brechkraft des Auges durch die Gasblase. Das Gas muss nicht separat entfernt werden. Der Körper resorbiert das Gas und ersetzt den inneren Augenbereich mit Flüssigkeit. Dieser Prozess kann je nach verwendetem Gas zwischen 1 und 8 Wochen dauern. In diesem Zeitraum dürfen keine Flugreisen oder Tauchgänge unternommen werden.




Bei der Netzhautablösung kommt es häufig entweder durch Traktionen oder durch Einrisse und Lochbildungen zu einer Ablösung der inneren Netzhautschicht von der darunterliegenden Aderhaut. Die abgelöste Netzhaut enthält die Sinneszellen, die für das Sehen wichtig sind. Ist diese Schicht vom Untergrund abgelöst, verliert sie ihre Funktion, eine vollständige Netzhautablösung führt zur Erblindung des Auges.
Risikofaktoren für eine Netzhautablösungen sind eine hohe Kurzsichtigkeit, diabetische Veränderungen an der Netzhaut, eine familiäre Häufung von Netzhautabhebungen oder ein bereits betroffenen Partnerauge.
Als Alarmzeichen für eine beginnende Netzhautablösung oder Einrisse in der Netzhaut gelten Lichtblitze, dunkle, sich bewegende Punkte im Gesichtsfeld oder eine schwarze Wand die sich von einer Seite wie ein Vorhang bewegt. Ist die Netzhautmitte betroffen kommt es zu einer deutlichen Sehverschlechterung.
Je nach Ausmaß der Netzhautveränderung kann man diese mit einer kleinen Netzhaut-Laser-OP behandeln. Bei größeren Netzhautablösungen muss eine Plombe von außen auf das Auge aufgenäht werden und eine Kältebehandlung der Lochbereiche durchgeführt werden. Ist die Abhebung sehr groß oder kompliziert muss der Glaskörper entfernt werden und die Netzhaut mit Instrumenten im Auge wieder an den Untergrund angelegt werden. Dies ist das Ziel aller operativen Methoden. Essentiell ist das rechtzeitige Erkennen einer Netzhautablösung und die zeitnahe operative Versorgung.
Die Operation wird in der Augenklinik Nord-Heidberg mittels minimal invasiver 23 G-Technik durchgeführt, bei der nur 3 kleine Öffnungen mit 0,6 mm Durchmesser an der Außenseite des Auges angelegt werden müssen. Diese minimalinvasive Technik ermöglicht eine kurze Operationszeit, kurze stationäre Verweildauer und schnelle Rehabilitation des Patienten. In der Regel wird bei diesen Operationen eine Gasblase in das Auge eingegeben. Dies soll das Verschließen des Loches begünstigen und die abgelöste Netzhaut wieder an den Untergrund andrücken. Nach der Operation empfehlen wir den Patienten für mehrere Stunden am Tag den Blick gesenkt zu halten und das Auge wenig zu belasten um den optimalen Operationserfolg sicherzustellen. Solange die Gasblase im Auge ist, bleibt die Sehschärfe noch stark reduziert, dies ist normal aufgrund der geänderten Brechkraft des Auges durch die Gasblase. Das Gas muss nicht separat entfernt werden, der Körper resorbiert das Gas und ersetzt den inneren Augenbereich mit Flüssigkeit. Dieser Prozess kann je nach verwendetem Gas zwischen 1 und 8 Wochen dauern. In diesem Zeitraum dürfen keine Flugreisen oder Tauchgänge unternommen werden. In diesem Zeitraum dürfen keine Flugreisen oder Tauchgänge unternommen werden.
Bei komplizierten Fällen ist manchmal eine Auffüllung des Aufapfels mit Öl erforderlich. Dies wird nicht resorbiert, sondern muss im Verlauf in einer zweiten Operation wieder entfernt werden.

